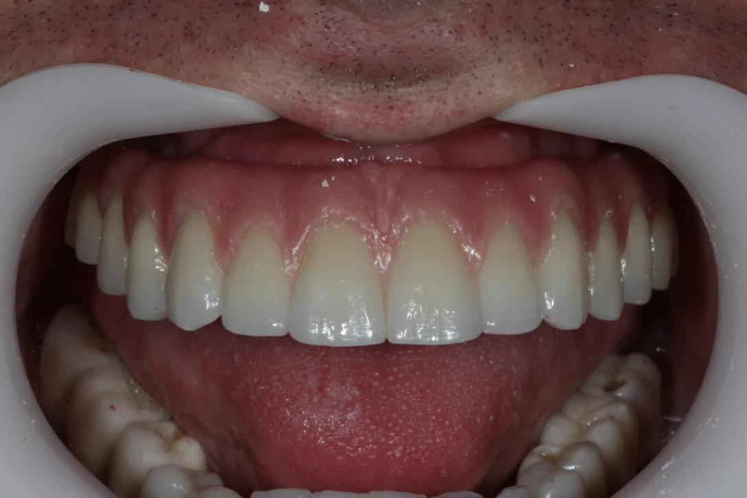
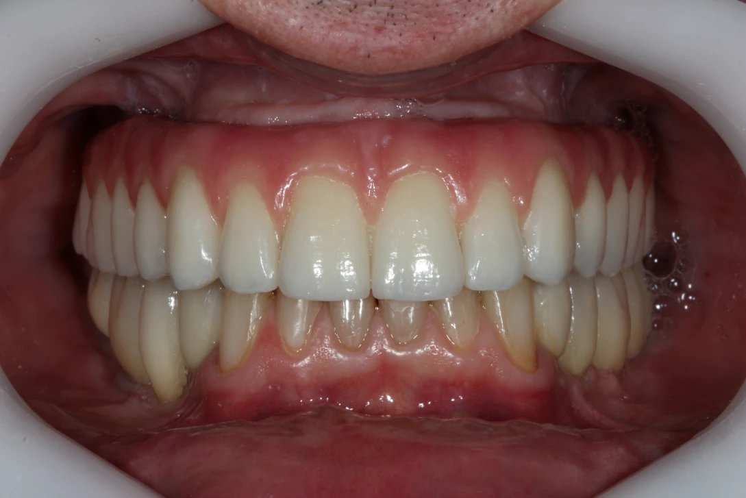
Na Arta Odontologia, os Doutores Cristiano e Mateus devolvem o prazer de mastigar, conversar e sorrir — com implantes que parecem e funcionam como dentes naturais.
Publicado em Augusto Conte laimerTrustindex verifica se a fonte original da avaliação é Google. Um dos melhores dentistas que eu já conheci! Muito bom mesmo eu recomendo e muitoPublicado em Ana Paula de Oliveira SpannenbergTrustindex verifica se a fonte original da avaliação é Google. Excelente atendimento. Profissionais capacitados. Recomendo!Publicado em Murilo Machado PeveradaTrustindex verifica se a fonte original da avaliação é Google. Quando tinha 7 anos, cai jogando bola e quebrei o dente bem da frente, quebrou no meio. Ele a recém tinha nascido. Juntei o pedaço quebrado e meu pai ligou para o Dr Mateus que prontamente disse que podia nos atender. Ele conseguiu colar o pedaço de volta com uma cola super forte. O Dr Cris também ajudou no procedimento. Hoje tenho 13 anos e meu dente está saudável e bem bonito. Obrigado a todos da clínica arta pelo carinho que sempre nos recebem!!!Publicado em Camila SanchesTrustindex verifica se a fonte original da avaliação é Google. Os melhores profissionais! Super atenciosos e profissionaisPublicado em Bruna CecchinTrustindex verifica se a fonte original da avaliação é Google. Excelente atendimento!! Profissionais qualificados e com otima estrutura para atender seus pacientes.Publicado em RenanTrustindex verifica se a fonte original da avaliação é Google. Ótimo atendimento!Publicado em Andreia PuhlTrustindex verifica se a fonte original da avaliação é Google. Excelente atendimento e profissionais altamente capacitados.



Confiança e Credibilidade
A Arta Odontologia é referência em implantes dentários em Passo Fundo e região. Com mais de 3.000 pacientes atendidos, nossa equipe une tecnologia, técnica e cuidado humano para devolver a funcionalidade e a estética do sorriso.

Mais de 2 décadas de experiência clínica

Professor e ex-coordenador de especialização em Implantodontia, com centenas de casos de sucesso acompanhados pessoalmente.
e duradouros
e personalizada
e cuidadoso
e tecnologia de ponta
do início ao fim do tratamento
Agende sua consulta e descubra o melhor plano de tratamento para conquistar dentes fixos e um sorriso confiante.